黒川真理子(ミシガン大学放射線科 留学中)

Kurokawa M, Kurokawa R, Hagiwara A, Gonoi W, Harayama S, Koizumi K, Yoshino K, Hishima T, Baba A, Ota Y, Abe O, Takaki Y. CT imaging findings of anti-PD-1 inhibitor-related enterocolitis. Abdominal Radiology. 2021 Feb 26. doi: 10.1007/s00261-021-02986-0
内容紹介
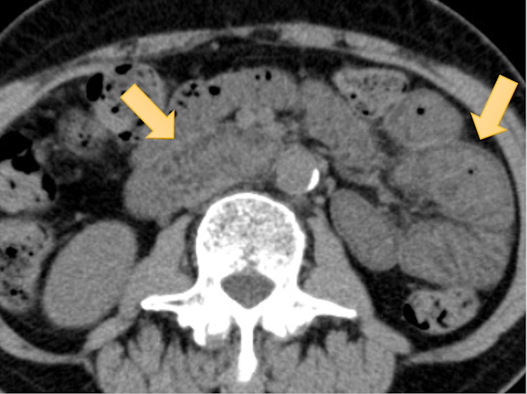
免疫チェックポイント阻害剤であるPD-1阻害剤による悪性腫瘍治療中の患者における腸炎の局在やCT所見を含む性状、およびその機序についてまとめた論文です。PD-1阻害剤関連腸炎は、炎症性腸疾患様の分布や病理所見を呈することと、虫垂のinvolvementが高率に生じることを示しました。①PD-1阻害による直接的な虫垂炎や回腸炎、②PD-1阻害に伴うIgA関連腸管免疫の破綻による間接的な腸炎(多くは結腸炎)という2種類の機序によって腸炎が生じていると考えています。

ひとこと
まずは論文を書くに際し、萩原先生や黒川遼先生にご指導いただき大変感謝申し上げます。臨床で気になった点を論文化するのは喜ばしいことであると共に知識をより深く掘り下げてくれます。一人では到底なし得ませんが、一緒に進めて下さる先生方がいて、今後は更に色んな方と面白い発見や学びができたらいいなと思います。よろしくお願い申し上げます。
黒川遼先生(ミシガン大学放射線科 留学中)

Kurokawa R, Hagiwara A, Tanishima T, Inui S, Kurokawa M, Nakaya M, Gonoi W, Amemiya S, Nakai Y, Fujita N, Ota Y, Baba A, Abe O. CT imaging findings of lenvatinib-induced enteritis. Abdominal Radiology. 2021 March 5. doi: 10.1007/s00261-021-03006-x
内容紹介
マルチキナーゼ阻害薬であるレンバチニブ(レンビマ®)による腸炎のCT所見や消化器系合併症(下痢、食思不振、嘔気、嘔吐)や治療方針への影響を検討した論文です。レンバチニブは切除不能な肝細胞癌や切除不能な甲状腺癌に対して近年使用されるようになり、高い治療効果が報告されていますが、一方で合併症によって休薬や治療中止を余儀なくされる症例も高頻度であることが知られていました。本研究では、背景の悪性腫瘍の種類にかかわらず高頻度でCTで小腸炎様の所見を呈することや、この所見が認められた症例では休薬に追い込まれる頻度が有意に高いことなどを示しました。レンバチニブで高頻度に生じることが知られている消化器系合併症は、実はsubclinicalな腸炎が原因となっているのかもしれない、とも考えています。

ひとこと
本研究のきっかけは、ある甲状腺癌患者さんのCTの読影中に経時的に増悪する十二指腸空腸炎様の所見に気づき、短期間の間に別の患者さんにおける類似の症例に遭遇したことです。共通点を探る過程でレンバチニブという共通項に気づき、先行研究が見当たらなかったため症例集積することにしました。日常臨床で気になった所見、違和感を抱いた所見には必ずその根拠が隠れており、その中にしばしば研究のアイデアが詰まっているというのを痛感します。そこに気づけるようになるためにも、日々の読影は一生懸命取り組んでいきたいと思います。 共著者の先生方、特にデータ収集にご協力いただき一緒に考えてくれた谷島先生、戌亥先生、仲谷先生らに感謝いたします。