3、優秀論文表彰
第25回むつき会学術講演会の後半は、昨年発表された論文の中から、世話人会の先生方が十分な条件を満たすと認めた論文について、表彰が行われました。プレセンターは、山梨大学名誉教授の荒木力先生です。
今回は、大学院4年生の鈴木文夫先生、順天堂大学静岡病院の入江陵介先生、東大放射線科助教の扇田真美先生の3名が受賞されました。
鈴木文夫先生
Suzuki F, Sato N, Ota M, Sugiyama A, Shigemoto Y, Morimoto E, Kimura Y, Wakasugi N, Takahashi Y, Futamura A, Kawamura M, Ono K, Nakamura M, Sano A, Watanabe M, Matsuda H, Abe O. Discriminating chorea-acanthocytosis from Huntington's disease with single-case voxel-based morphometry analysis. J Neurol Sci. 2020 Jan 15;408:116545. doi: 10.1016/j.jns.2019.116545. Epub 2019 Oct 21.
入江陵介先生
Irie R, Amemiya S, Ueyama T, Suzuki Y, Kamiya K, Takao H, Mori H, Abe O. Accelerated acquisition of carotid MR angiography using 3D gradient-echo imaging with two-point Dixon. Neuroradiology. 2020 Oct;62(10):1345-1349. doi: 10.1007/s00234-020-02452-6. Epub 2020 May 18.
扇田真美先生
Ogita M, Shiraishi K, Karasawa K, Tokumasu K, Nakajima N, Chang T, Kawamori J, Yamashita H, Nakagawa K. Clinical outcome of adjuvant radiotherapy for squamous cell carcinoma of the breast; a multicenter retrospective cohort study. Breast. 2020 Aug;52:88-94. doi: 10.1016/j.breast.2020.05.003. Epub 2020 May 14.
受賞された鈴木先生、入江先生、扇田先生、おめでとうございます!
4、特別講演
学術講演会の二つの目のメインは、特別講演です。
今回は東大放射線科治療部門から、現在国立がん研究センター中央病院でご活躍の大熊加恵先生にご講演頂きました。ご講演の内容を寄稿頂きましたので、治療と診断が融合したMRIdianの世界の奥深さについて、堪能いただけると思います。

座長は中川恵一先生です。

(寄稿)「MRIdianによる放射線治療の未来 〜画像診断と放射線治療の融合〜」
大熊加惠(国立がん研究センター中央病院 放射線治療科)
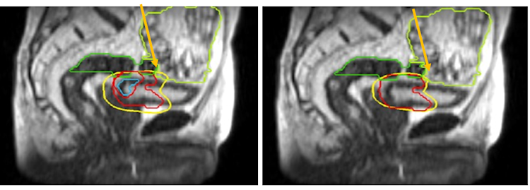
MRI装置と放射線治療装置が一体化したMRIdian(メリディアン:ViewRay社)は、現在日本で当院を含めた2施設に導入されています。

MR画像を用いて事前に治療計画を行いますが、治療直前や治療中にリアルタイムのMR画像を取得することができます。CTよりも軟部組織の分解能が高く、被ばくしないことが特徴です。さらに治療直前の画像に線量分布を重ね合わせ、腫瘍や周囲リスク臓器のその日の投与線量を確認することができます。

線量分布が好ましくない場合、その日の最適な線量分布にするべくその場で再治療計画を行うことも可能です(On-line Adaptive RadioTherapy)。

既存の装置でも再治療計画を行うことはできましたが、少なくとも翌日以降の治療に反映されることしかできませんでした(Off-line ART)。 MRIdianでは、日々変化する臓器において、治療のたびにリスク臓器の線量を守りつつ、ターゲットへの線量を増加することも可能となります。今まで根治が難しかった臓器での放射線治療成績の向上が期待されています。
講演後には、治療部門、診断部門の垣根を越えた、大変活発な質疑で盛り上がりました。
5、閉会の辞
最後に、阿部教授より閉会のご挨拶がありました。
まず、当番世話人としてご尽力いただいた中川恵一先生、世話人会の先生方、開会の辞を述べられた佐々木康人先生、研究発表の座長、発表、指定質問者の先生方、優秀論文賞プレセンターの荒木力先生、特別講演をいただいた大熊加恵先生、そして参加・ご協力いただいたすべての先生方に感謝が述べられました。
来年度新入医局員を迎えることに触れ、東京都のシーリングの中で日本の放射線科医を1人でも増やすために、各地域の医局員の先生方による各地への研修プログラムの受け入れの協力があったこと、また、新入医局員の先生方による各病院への派遣への協力があったことに対する感謝が語られました。
また、今回初めてのWeb開催に当たって事務局として尽力いただいたGEヘルスケアファーマの方々に対しても厚い感謝が述べられました。