佐藤裕子 先生
練馬光が丘病院放射線科(医師8年目、放射線科入局6年目)
Sato Y, Shirota G, Makita K, Itoh D, Hayashi TY, Akamatsu N, Matsui S, Saito J, Omura M, Nishikawa T, Abe O. Anatomical Veriations of the Left Adrenal Vein Encountered During Venous Sampling J Vasc Interv Radiol. 2021 Sep 20:S1051-0443(21)01352-X. doi: 10.1016/j.jvir.2021.09.005.

論文紹介
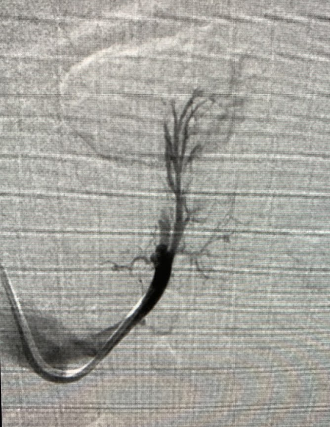
超選択的副腎静脈サンプリングは通常の左右の副腎中心静脈に加え、さらに細い支脈に入れ分けて採血を行う検査です。原発性アルドステロン症の局在診断(片側性/両側性など)と治療方針決定(手術療法か薬物療法か)のために行います。一般的に右副腎静脈採血が難しく、左副腎静脈採血は簡単とされますが、実際には支脈レベルの解剖学的変異から左副腎静脈から採血に困ることがしばしば経験されます。そのため、過去の血管撮影画像を後方視的に振り返り、左副腎静脈の支脈レベルでの血管解剖について分類しました。
ひとこと
最初に投稿してから、査読コメントに一喜一憂し、皆で議論を重ね、版を重ね、その過程が貴重な経験でした。長年牧田先生や横浜労災病院の先生方が積み重ねてこられた副腎静脈サンプリングの世界に飛び込んでみて良かったです。牧田先生、白田先生をはじめ、ご尽力いただいたすべての先生方に心より感謝申し上げます。
鈴木聡 先生
東京警察病院放射線科 入局3年目
Suzuki S, Kurokawa R, Tsuruga T, Mori-Uchino M, Nishida H, Kato T, Abe H, Ushi ku T, Amemiya S, Katayama A, Abe O. CT, MRI, and FDG-PET imaging findings of low-grade extrauterine endometrial st romal sarcoma arising from the mesentery: A case report. Radiol Case Rep. 2021 Jul 22;16(9):2774-2779. doi: 10.1016/j.radcr.2021.06.063

論文紹介
稀な子宮悪性腫瘍である低悪性度子宮内膜間質肉腫が腸管膜に発生した症例の報告です。これまでCT、MRI、FDG-PETの所見全てについて報告した例はありませんでした。本症例の病変には嚢胞が目立ちましたが、文献上も子宮外に発生した例では嚢胞が目立つ場合が多く、子宮外発生例での特徴であるかもしれない点についても、これまであまり着目されていなかったようですので画像所見とともに記載しました。
ひとこと
初めての症例報告でしたが、黒川先生をはじめとした医局の先生方の他、東大病院の女性外科、病理部、国立がん研究センター中央病院婦人腫瘍科の先生方からも丁寧にご指導いただき、掲載することができました。この場を借りてお礼申し上げます。
前川朋子 先生
順天堂大学医学部附属順天堂医院放射線科 (非常勤助手) 医師10年目、放射線科8年目
Maekawa T, Hagiwara A, Yokoyama K, Hori M, Andica C, Fujita S, Kamagata K, Wada A, Abe O, Tomizawa Y, Hattori N, Aoki S. Multiple sclerosis plaques may undergo continuous myelin degradation: a cross-sectional study with myelin and axon-related quantitative magnetic resonance imaging metrics Neuroradiology. 2021 Aug 12. doi: 10.1007/s00234-021-02781-0.

論文紹介
Synthetic MRI (SyMRI)とNeurite orientation dispersion and density imaging (NODDI)から算出されるミエリン・軸索の定量的指標と、多発性硬化症のプラークが出現してからの推定期間との関連を調べたところ、プラークのミエリンは軸索よりも継続的に損傷を受けていることが示唆されました。SyMRIやNODDIを用いたミエリンイメージングは、多発性硬化症プラークの時間的変化を定量評価するのに有用である可能性があります。
Maekawa T, Hori M, Murata K, Feiweier T, Kamiya K, Andica C, Hagiwara A, Fujita S, Kamagata K, Wada A, Abe O, Aoki S. http://S.Ma Time-dependent Diffusion in Brain Abscesses Investigated with Oscillating-gradient Spin-echo. Magn Reson Med Sci. 2021 Sep 10. doi: 10.2463/mrms.ici.2021-0083.

論文紹介
こちらはMRMS誌のInnovative Clinical Imageで報告したものとなります。Oscillating-gradient spin-echo (OGSE)法による拡散強調像では拡散時間の大幅な短縮化が可能となり、組織微細構造を推定できる手法として期待されています。脳膿瘍をOGSE法で解析し、脳膿瘍におけるADC値の拡散時間依存性は基質の粘性だけでなく内部構造の拡散制限を示唆していることを報告しました。すなわち、教科書的には「脳膿瘍が拡散強調像で著明な高信号を示すのは、粘性によるもの」とよく書かれていますが、粘性のみに由来しているのではなく、膿瘍内部の微細構造(炎症細胞、壊死組織の破片、フィブリン、細菌など)が大いに影響しているということです。
ひとこと
ご紹介した1つ目の論文は、解析を始めてから3年越しでやっと形になり、嬉しい限りです。2番目の論文は、当初「脳膿瘍が拡散強調像で著明な高信号を示すのは粘性によるものならば、拡散時間を変化させてもADC値は変わらないはず」と推測しておりましたが、予想に反してADC値は変化しました。教科書に書いてあることとは違う結果になるのも、研究の醍醐味だなぁと思います。引き続き、楽しみながら研究活動を続けていけたらと思います。