研究内容紹介
東京大学医学部附属病院 放射線科 画像情報処理・解析研究室では、 機械学習を応用したコンピュータ支援検出/診断 (Computer-assisted detection/diagnosis) に関する研究と、 CADを臨床で使用して性能を評価・検証する研究を行っています。
コンピュータ画像解析

脳動脈瘤自動検出
深層学習を用いて精度を向上

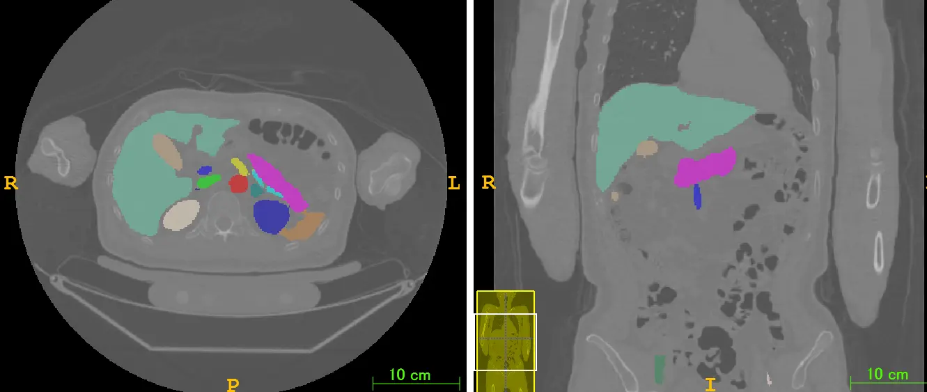
種々の疾患の自動検出
肝腫瘍・肺結節・気管支粘液栓など

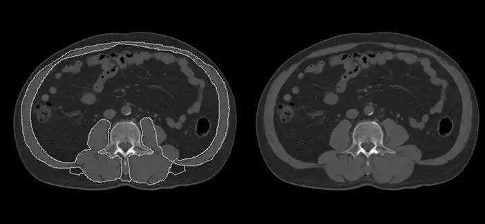
内臓脂肪自動計測
成人病リスクを数値化

医用画像基盤モデル開発
すべての医用画像を解釈するモデルを目指して

サルコペニアプロジェクト
内臓脂肪・皮下脂肪領域の抽出と筋肉量計測

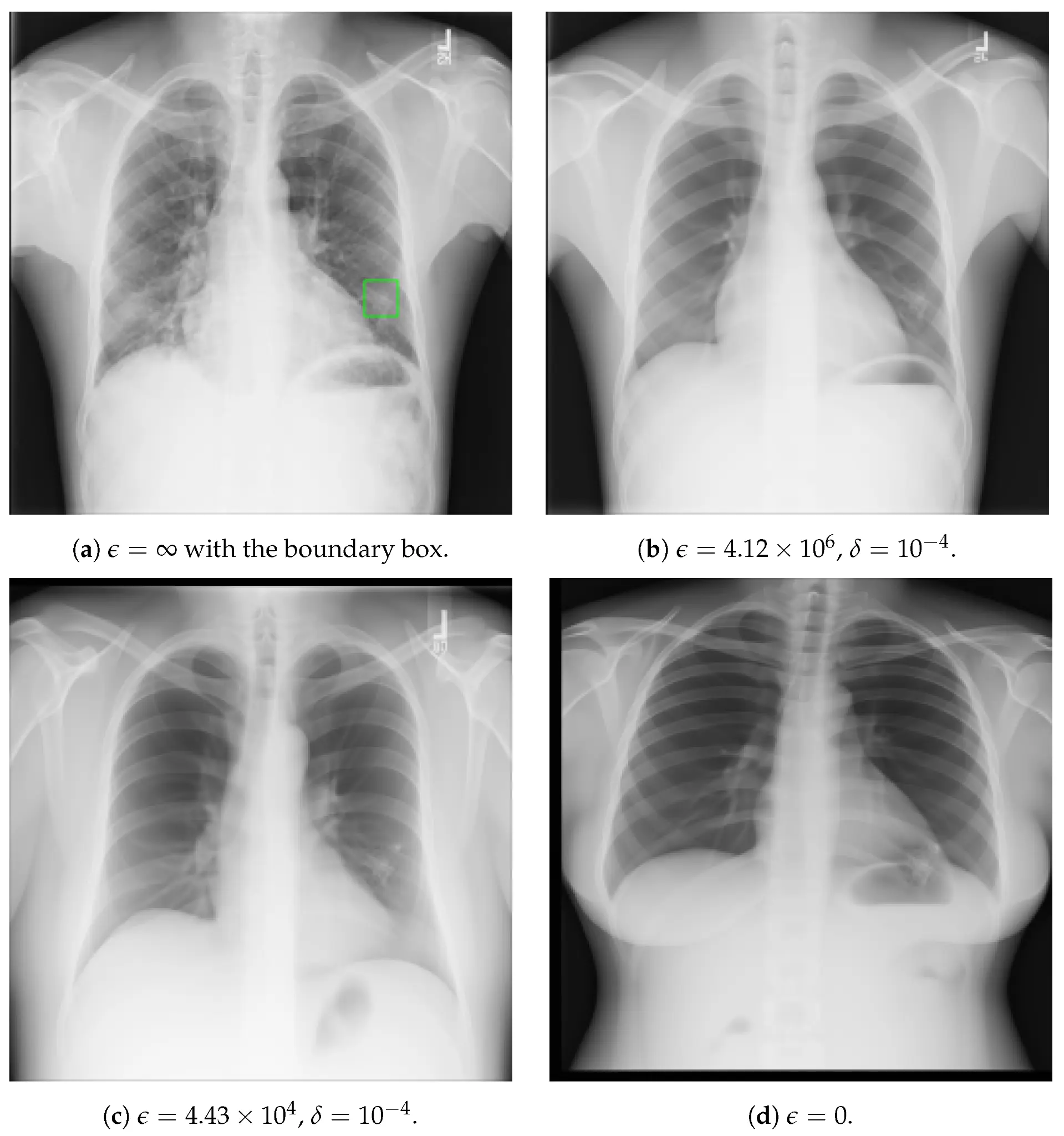
差分プライバシー
画像から疾患を消さず個性を消す

画像の経時変化を用いた研究
微細な経年変化を捉えて疾病を予測

画像バイオマーカーを用いた疾患研究
画像と検体検査を組み合わせて性能向上

解剖学的ランドマーク検出
人体の特徴的構造を頑強に検出
自然言語解析・大規模言語モデルを用いた研究

LLMプロダクトの性能検証
国家試験・専門医試験における性能分析

放射線科レポート分析・生成
言語モデルの力で放射線科医の日常業務を補助

公開可能なAI向けデータセットの作成
国家試験・専門医試験における性能分析

レポートからのキースライス自動選択
レポートと画像を同時に解釈


